近日延安大學醫院超聲醫學科成功開展了藥物負荷超聲心動圖,為患者的臨床癥狀獲取了有力的影像證據。
患者女性,69歲,以活動后胸悶、胸痛就診,入院后完成相關檢查,診斷為肥厚型心肌病,但檢查結果不能完全解釋患者癥狀。超聲醫學科王主任與心血管病九病區崔主任、馮主任對病史及相關檢查綜合評估及多學科會診后,考慮該患者為隱匿性肥厚型心肌病。
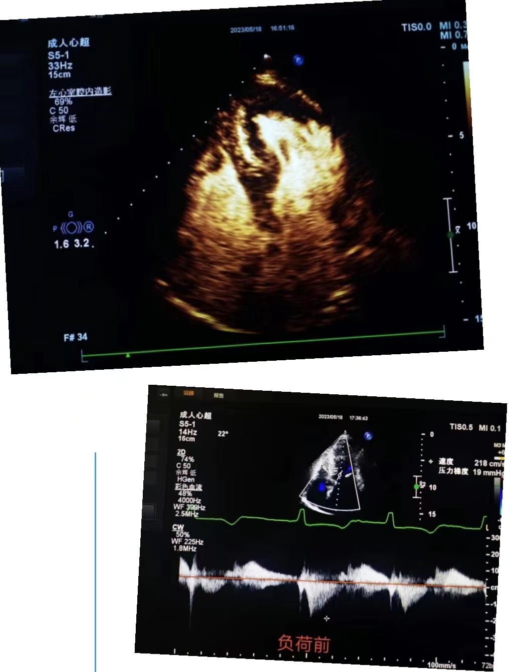
超聲科王英莉主任及心血管組賈貝主治醫師、陳輝主管護師及牛丹青護師為該患者行藥物負荷超聲心動圖。監護儀、急救車到位,常規經胸超聲心動圖提示室間隔增厚,左室流出道血流速度略增快,左心腔超聲造影,可清晰顯示室壁顯著增厚,符合肥厚型心肌病表現,隨后又進行了多巴酚丁胺負荷超聲心動圖,靜息狀態下顯示左室流出道血流速度V:207cm/s,PG:17mmHg;3分鐘后心率達75次/分,左室流出道血流速度V:218cm/s,PG:19mmHg;6分鐘后心率達94次/分,左室流出道血流速度V:386cm/s,PG:60mmHg;9分鐘后達到目標心率,左室流出道血流速度V:649cm/s,PG:169mmHg,停止用藥,藥物負荷試驗陽性,檢查過程中患者無不適癥狀,最終診斷為隱匿性肥厚型梗阻性心肌病。
藥物負荷試驗適應癥:
1、評估心肌存活性;
2、評估瓣膜病變的輕重程度;
3、診斷冠心病并評價心肌缺血的范圍和嚴重程度;
4、鑒別不明原因的胸痛、胸悶、氣緊;
5、心肌梗死后和心臟手術前危險度分層;
6、估冠脈搭橋術的療效及治療后再狹窄;
7、肥厚型心肌病評估左室流出道梗阻程度。
此項技術為超聲科開展的又一項超聲關鍵檢查技術,該技術為臨床提供了精準的高質量診斷,也將進一步造福心臟疾病患者。
供稿供圖:超聲醫學科 賈貝
審核:劉連鋒
編輯:宣傳部 陳蕾
校對:宣傳部 蔣楠


