16:20伴隨卒中中心傳來的急促腳步聲,卒中中心值班宋靜靜醫生迅速接診,經查體發現患者意識淺昏迷,雙眼向右側凝視,左側鼻唇溝變淺,左側肢體墜落實驗陽性,左側肌張力、腱反射減弱,左側巴氏癥陽性。NIHSS評分:33分。
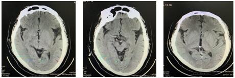
16:26急查頭顱CT示:右側額葉皮質區急性期腦梗死,結合患者癥狀體征考慮腦梗死急性期。請示NICU王偉偉主任,立即啟動綠色通道。
16:50 患者進入導管室。
17:21 DSA示:右側大腦中動脈、前動脈閉塞。與患者家屬談話,簽字后立即行中動脈、前動脈取栓術。
18:55 術后患者神經功能及肢體功能逐漸恢復,意識轉清,上肢肌力4級,下肢肌力3級。卒中中心又成功救治一名危重患者。這是一場與時間的賽跑,更是一場與死神的搏斗。
腦卒中是一種突然起病的腦血液循環障礙性疾病。具有高患病率、高發病率、高死亡率和高致殘率的“四高”疾病。延安大學咸陽醫院規范、高效的腦卒中綠色通道的建立,有效縮短腦卒中患者從就診到治療的時間,讓卒中患者在最短時間進入規范化診療程序,得到及時和有效的治療,為搶救大腦贏得先機。
延安大學咸陽醫院卒中中心提醒廣大市民,患有高血壓、高血脂、糖尿病、房顫、痛風、吸煙、肥胖或超重、缺乏體育鍛煉和有卒中家族史的人群要重視腦卒中的預防,尤其是年過40歲且有3個以上上述危險因素的,更屬腦卒中的高危人群,一旦出現:突然發生面部不對稱,口角歪斜,肢體無力下垂,言語不清表達困難等上述癥狀,應立即撥打120。發生腦卒中時,大腦每分鐘有190萬個神經細胞死亡,導致140億個突觸和7.5英里的神經纖維損失,缺氧的大腦每小時的老化程度相當于3.6年,因此時間就是大腦,對于卒中患者來說,發病后越早治療,后遺癥越少,愈后越好。
卒中中心24小時電話:029-33779595
供稿:卒中中心 許策 王偉偉
專家簡介:
科室簡介:


