——記我院首例生物可吸收支架植入術
2019年4月25日是一個特殊的日子,在迎接延安大學咸陽醫院建院70周年慶祝大會的喜慶時刻,延安大學咸陽醫院冠脈介入團隊完成了咸陽市首例冠狀動脈生物可吸收支架植入術。該例手術的成功實施填補了咸陽地區相關技術領域的空白,既是給我院70周年院慶的獻禮,更是為廣大冠心病患者帶來了福音。
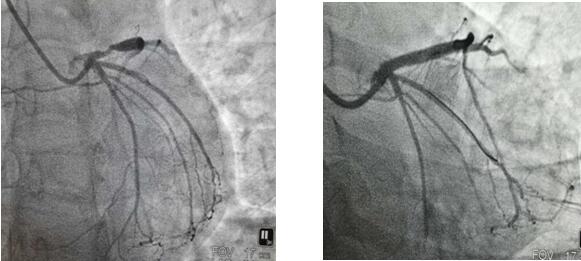
4月22日上午,患者王女士因“反復胸痛、胸悶半年”就診我院,行冠脈造影提示LAD段嚴重狹窄,經全面評估患者病情,充分結合患者及家屬意愿后,今日上午為31歲的王女士成功植入生物可吸收支架一枚,手術過程順利,術后效果滿意。

生物可吸收冠狀動脈雷帕霉素洗脫藥物支架系統

支架植入前 支架植入后

PCI術中介入團隊
我國目前患心血管疾病的人數近3億,其中冠心病患者約1100萬,而且并且正在逐步年輕化,這個數字在不斷增加。隨著冠心病不斷被人們所了解,臨床診療技術也不斷的發展,心臟支架便應運而生。其原理是通過將支架植入血管發生狹窄或堵塞的部位進行支撐和疏通,從而改善血液流通狀況。其發展歷程從球囊擴張時代到金屬裸支架再到藥物洗脫支架。盡管藥物洗脫支架發生再狹窄的概率比金屬裸支架大幅降低,但由于其金屬材料的特性依然無法改變長期留存于人體內帶來的諸多弊端,比如晚期血栓問題,支架內再狹窄,不便于進行核磁共振檢查等。在此背景下,生物可吸收支架研發問世。這種支架和藥物洗脫支架類似,上面包裹著抗炎、抗增生的藥物,但是用可以被人體吸收的生物材料聚乳酸作為基礎,在植入血管后3后進入康復期,支架基本完全降解消失,最終被人體完全吸收,血管再造逐漸完成,新發生的支架血栓等臨床時間幾率很低,臨床效果趨于穩定,且隨著支架對血管禁錮的消失,血管的彈性舒縮功能得到恢復,使患者獲得比金屬藥物支架更多的遠期獲益。
生物可吸收支架是繼金屬支架“血管再通”心血管治療領域的又一次革命,有著廣泛的應用前景,為患者與醫生提供更加卓越的治療方案,患者將得到更大的全壽命周期獲益,我們將以此為開端,努力創新,精益求精,繼續為人民群眾的健康保駕護航。
心血管內科六病區 趙海龍


