為院慶七十周年獻禮
普通外科一病區成功為患者實施罕見巨大肝包蟲摘除手術
甘肅患者,男,54歲,在當地醫院發現肝臟巨大占位性病變無法處理,慕名前來我院普通外科一病區治療。

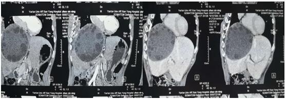
術前CT和三維重建
患者入科,姚春和主任與科室醫師通過細致的診查,即確診該患者系“肝臟巨大肝包蟲”。此病例較為罕見,手術難度大。經嚴密術前討論,姚主任操刀,于4月16日在全麻下行巨大肝包蟲外囊摘除術。術中嚴格無菌保護周圍組織,細致剝離血管,手術歷經4小時,成功摘除大小約20*30cm包蟲外囊。此例手術的完成標志著我院肝膽外科在肝臟手術的又一巨大突破。

手術中 手術取出外囊 囊腫內容物
值此延安大學咸陽醫院七十周年院慶來臨之際,普通外科一病區用高超的手術技能、優良的團隊協作,為我院七十周年院慶獻禮,為醫院外科再添一筆絢麗重彩。
科室地址:延安大學咸陽醫院外科大樓14層
科室電話:029——33783995
供稿:普外一科 姚春和 編輯:外科綜合辦 田夢園


