肥厚型心肌病作為一種遺傳性心肌病,以心室非對稱性肥厚為顯著特征,是導致青少年運動猝死的“頭號元兇”之一。依據左室流出道是否存在梗阻,該疾病可分為梗阻性與非梗阻性兩種類型。國外研究數據顯示,其人群患病率為200/10萬;而我國調查結果表明,患病率為180/10萬。梗阻性肥厚型心肌病患者左心室收縮時,快速血流流經狹窄流出道會產生負壓,導致二尖瓣前葉前向運動,加重梗阻程度,這種現象在收縮中后期尤為明顯。部分患者靜息狀態下梗阻癥狀不顯著,但運動后梗阻會急劇加重。當靜息或運動負荷超聲顯示左室流出道壓力階差大于等于30mmHg,即可診斷肥厚梗阻性心肌病,該類型約占全部患者的70%。
72歲的王女士(化名),早在7年前就被心臟彩超確診為室間隔肥厚并流出道梗阻。近期,她因“反復胸悶、氣短20余年,加重伴惡心、嘔吐1周”入住消化內科。入院復查心臟彩超結果顯示:EF值為62%,FS值為34%;室間隔中上段厚度達到18.5/17.7毫米,左室流出道最大血流速度高達547cm/s,PG值為119mmHg,明確診斷為梗阻型肥厚型心肌病。同時,腦鈉肽檢測值為3050.6ng/l。綜合評估后,王女士轉入心血管內科九病區接受進一步治療。
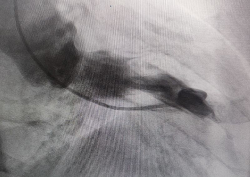
術前
面對這一復雜病情,崔旭輝主任醫師、馮韓章副主任醫師團隊展開了全面且深入的評估討論。經審慎分析,最終確定室間隔化學消融術(PTSMA)為最佳治療方案。PTSMA是通過導管將無水乙醇精準注入供應肥厚室間隔的間隔支血管,利用化學作用使血管閉塞,促使肥厚的室間隔缺血、壞死、變薄,有效降低或消除室間隔心肌收縮力,從而拓寬心室流出道、緩解梗阻癥狀,顯著改善患者的臨床狀況。
冠脈造影
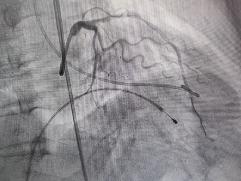
經過多輪嚴謹的術前討論,在吳棟梁院長的專業指導下,崔旭輝主任醫師團隊決定在臨時起搏器的安全保護下,為患者實施冠狀動脈造影術及室間隔化學消融術。術中,團隊通過造影精準鎖定第一穿隔支為消融靶血管。測壓數據顯示:左室壓260/15mmHg,流出道173/6mmHg,主動脈壓106/70 mmHg,壓力階差達87mmHg。隨后,團隊使用2.0X15mm預擴球囊以8atm壓力阻斷第一穿隔支遠端血流1分鐘,再次測壓時,壓力從269/7mmHg驟降至174/4mmHg,這一結果充分證實該血管正是室間隔的有效供血血管。緊接著,團隊通過SPRINTER OTW2.0×8mm球囊緩慢注入1.4ml無水酒精。10分鐘后復測,左心室壓降至136/5 mmHg,主動脈壓為112/93 mmHg。術后第2天,王女士胸悶、氣短、心悸等不適癥狀完全消失。復查心臟彩超顯示:EF值與FS值保持穩定,收縮期左室流出道血流速度降至252cm/s,PG值為25mmHg。
消融后造影
測壓
消融時測壓
術后1天
肥厚性梗阻型心肌病的治療目標在于改善癥狀、減少并發癥并預防猝死,需依據患者個體情況,通過減輕流出道梗阻、優化心室順應性、防治血栓栓塞,同時精準識別高危猝死患者,制定個性化治療方案。對于藥物治療效果不佳、心功能處于NYHA III - IV級,且存在嚴重流出道梗阻(靜息或運動時流出道壓力階差>50mmHg)的患者,室間隔切除術是重要的治療選擇。而室間隔化學消融術更是對介入醫生技術與經驗的雙重考驗。
未來,心血管內科九病區在崔旭輝主任醫師介入團隊的引領下,將始終堅守“仁心仁醫仁術仁德”的行醫準則,以精湛醫術和赤誠之心,守護每一位患者的生命健康,為萬千家庭的幸福保駕護航。
心血管內科九病區簡介
延安大學咸陽醫院心血管內科九病區主要以冠心病、高血壓、心律失常診斷治療為特色的心血管專科。病區環境整潔,醫療團隊專業規范,技術力量雄厚。目前配置心血管醫師7名,護士13名;其中碩士研究生4名,本科3名;主任醫師1名,副主任醫師1名,主治醫師3名,住院醫師2名。心血管內科九病區位于心血管大樓十四層,設有監護床位2張,普通病房38張,配有最先進的心電圖、除顫儀、呼吸機、心臟臨時起搏器等急救設備藥品齊全,可實現心電、呼吸、指脈氧及無創、有創血壓監測,為心血管患者的診療提供安全可靠地保證。
科室全面開展心血管內科常見病及疑難危重癥的癥的藥物及介入診療,主要研究方向是冠心病、高血壓、心律失常、心力衰竭及其并發癥的防治。開展冠心病的介入診斷及支架植入、心臟起搏器植入、心臟射頻消融及先心病的介入治療,同時開展外周介入治療,包括深靜脈血栓治療及濾器植入,大咯血等大出血栓塞止血,灌注化療及栓塞等。
科室積極開展醫療、教學、科研及健康保健等工作,重視學習,常年和西京、唐都醫院、交大、省醫院有醫療合作。
科室位置:心血管病院十四樓
科室電話:029-33774056


