一面錦旗承載一份肯定,一份榮耀彰顯醫者仁心。近日,我院重癥醫學科收到患者家屬送來的錦旗,錦旗上十四個金色大字訴說著患者家屬對重癥醫護人員高尚醫德精湛醫術的高度肯定和感激。
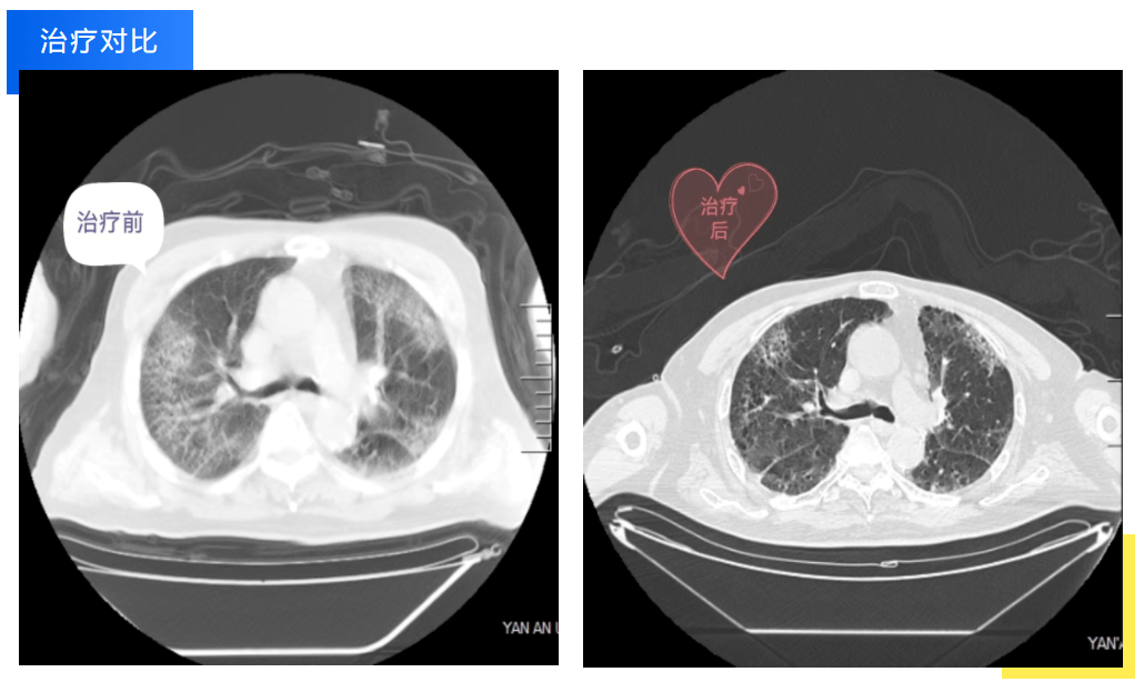
近期,患者張爺爺因重癥肺炎入住我院重癥醫學科。入院時,老人的病情已經進展為嚴重呼吸衰竭合并雙側胸腔積液,住院期間老人因對病痛的恐懼和對醫護工作的不理解而異常躁動不安,對診療及護理工作配合度極低,導致早期治療效果并不理想。重癥醫學科宋海剛主任帶領醫護團隊組織了科室疑難病例討論、全院多學科會診,張燕護士長、主管醫生屈曼曼細致地觀察病情,迅速梳理病情,調整診療方案,給予氣管插管、機械通氣、俯臥位通氣、抑制炎癥反應等綜合治療。
經過數日的治療和精心護理,老人呼吸衰竭的指標較前有了明顯的改善,氧合指數也從一開始的小于100mmHg逐漸提升到300mmHg以上,老人也感受到了醫護人員的良苦用心,從開始的抗拒到逐漸主動配合診療工作,目前已順利轉入下級醫院繼續康復。
老人轉危為安,隔日他的兒女特制錦旗送到重癥醫學科說到:“謝謝你們,是你們的堅持和付出才讓我們這個家依然團圓,感謝你們!”
重癥醫學科里,讓我們感動的常常不是一場場驚心動魄的搶救,而是呼吸機上逐漸改善的呼吸力學、監護儀里平穩的血流動力學和逐漸撤離的微量泵,那都是危重患者用生命在訴說——“我們在好轉”。
一面面錦旗時刻鞭策激勵著全體醫護人員,重癥醫學科將這面錦旗背后的感動化作今后工作的動力,本著生命至上、分秒必爭,不拋棄不放棄的職業信念,竭力為每一位患者提供優質、精湛、高效的醫療服務。


