國家先后發布優化落實疫情防控后,我國疫情防控進入新階段,大量的新冠患者的增加,醫務人員大批感染,延安大學心臟大血管外科任然堅守崗位,生命至上,勇做護心人。
提起拆彈專家,我們映入腦鏈的就是全副武裝,把頭腳包的嚴嚴實實,仔細的分離著電線,小心翼翼減掉一根,然后擦掉滿頭大汗的說:成功了。其實在我們心外科,也有這樣一批拆彈專家,他們兢兢業業,也在努力著拆除每一個炸彈--主動脈夾層動脈瘤,用心守護者每位患者的健康。
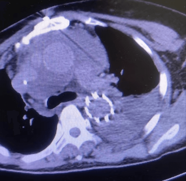
近日,我院急診科會診來了一位60歲女性患者,患者訴胸背部疼痛4小時余,疼痛劇烈,不能忍受,來院時血壓260/135mmHg,于當地縣醫院行大血管CTA檢查,提示主動脈夾層。新型冠狀病毒感染未完全康復的值班醫生一路小跑都氣喘吁吁前往急診科會診,一邊咳嗽一邊問診,由于患者病情危急,請示心外科武小剛科主任后分析:患者系主動脈夾層動脈瘤(A型),降主動脈近段可見明顯破口,升主動脈明顯增寬,根據超聲提示,目前考慮升主動脈已有新的破口,需急診行外科手術治療。與家屬溝通后積極降壓、止痛、備血等,進入夾層綠色通道,經過快速的術前準備,患者及早進入手術室,術中仔細剝離血管及周圍組織,小心翼翼的分離出受累血管,嚴格控制血壓,避免因血壓過高導致血管破裂,建立體外循環術中探查升主動脈可見1cm破口,驗證了術前的判斷;剪除掉破損血管,植入人工血管,仔細吻合每一根血管,既不能讓吻合口過小導致血液供應不足,也不能讓吻合口出血,一臺“升主動脈置換+全弓置換+象鼻術”需要經過長達6~8小時高精度操作,對醫生的耐力和精神都是一種考驗,經過6小時的手術,順利拆除“炸彈”。主刀醫師從手術室出來,已經是凌晨2點鐘,脫掉早已被汗水浸透的手術衣,癱軟的坐在椅子上,但患者轉危為安,再大的疲憊都是值得的。
手術中
置換的四分支人工血管
經過術后兩周的康復,患者順利出院,驚奇的是:患者出院前盡然沒有感染新冠,因為醫務人員已有80%以上都感染過了,凸顯了我科專業的新冠防控能力;“陽過、陽康”前仆后繼,勇做護心人,彰顯了心外人的擔當和使命,我科感染后的醫生拖著39°C溫度上崗上線,勇于擔當,站好每一班崗。多日來,堅守在崗位上的護士姑娘們,顧不上吃飯上廁所,最大程度地把所有的時間用于救治患者,新患者接診、病房消殺、心電監測、輸液……在人員緊張的情況下,他們仿佛變成了鋼鐵戰士,用柔弱的臂膀,撐起生命的堅強,全力保障疫情期間的醫療安全。
術后復查恢復良好
主動脈夾層又稱主動脈夾層動脈瘤,是一種嚴重的心血管疾病,是由主動脈管壁內膜出現破口,血液由此進入動脈壁中層,形成夾層血腫,并逐漸延伸剝離主動脈內膜和中膜引起的。分為DeBakey Ⅰ、Ⅱ、Ⅲ型,該類疾病病情危重,進展較快,未手術死亡風險較高,一般情況DeBakey Ⅰ、Ⅱ型我們選擇外科手術治療,DeBakey Ⅲ型可選擇腹膜支架植入。疫情當下,阻礙不了醫務人員的擔當和責任,用心守護廣大人民的身體健康,我們義不容辭。新冠無情,人有情,讓我們一起戰勝疫情,為人類的健康努力奮斗。
供圖供稿:心臟大血管外科 陳衛國、武小剛
審核:吳棟梁
編輯:宣傳部 陳蕾
校對:宣傳部 蔣楠


