患者68歲,男性,2011年因嚴重三支病變行外科冠狀動脈搭橋手術,近1個月來患者因稍微活動即感胸悶、胸痛,在家用藥后效果不佳入住心血管內科二病區,心血管內科二病區趙娟副主任立即組織全科進行討論,楊鵬主治醫師認真查詢患者既往住院所有資料,患者系冠脈搭橋術后,目前心絞痛發作頻繁,隨著冠狀動脈橋血管受到內膜增生、血栓形成以及粥樣硬化等因素的影響,橋血管可能會出現狹窄甚至閉塞,導致心肌缺血癥狀出現。同時與心血管病院吳棟梁院長、CCU李新國副主任、CT室張媛責任總反復多次對冠脈CTA進行研讀——考慮橋血管閉塞可能,與患者家屬進行反復溝通,決定為患者進行冠狀動脈造影術+橋血管造影術,進一步精準評估本體血管和橋血管情況,根據情況對本體血管進行介入手術治療。
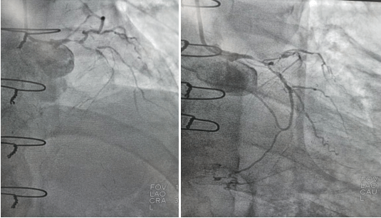
2022年9月16日行冠脈造影術,造影結果示:左主干末端99%狹窄,LAD近段100%閉塞,LCX開口及近段95%狹窄,乳內動脈-左前降支血管通暢,RCA近段100%閉塞,大隱靜脈橋血管未見,考慮閉塞。
心血管病院吳棟梁院長、CCU李新國副主任、心血管內科二病區趙娟副主任、王端樂主治醫師、宋睿主治醫師介入團隊造影后認真研究患者的病情和影像資料,決定開通閉塞長達11年的右冠狀動脈,精確選擇器械,選擇同軸性及支撐力均好的指引導管,術中選用微導管輔助,軟、硬導絲結合等技術,聚精會神、揮汗如雨,終于歷經3小時的努力,成功前向開通右冠狀動脈,精準選擇由遠及近“鋪設”通過性較好、長度合適的支架 。
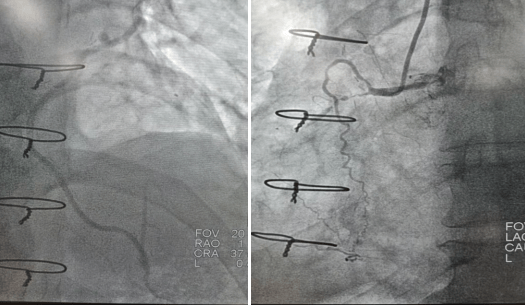
(術前術后對比)
術后癥狀明顯改善,活動后無胸悶、胸痛,明顯提高患者生活質量,提高患者生存率,使患者絕地逢生。
延安大學咸陽醫院心血管病院心血管內科二病區始終秉持創新理念,不斷開展新技術,目前在處理復雜冠脈病變方面形成了系列的治療方法,積極開展血管內超聲、藥物涂層球囊、IABP支持下PCI、冠脈內旋磨、OCT等新技術,顯著改善了高危、高齡、復雜、重癥心臟病患者預后,更好地為心血管患者的健康保駕護航。
延安大學咸陽醫院心血管內科二病區竭誠為您服務,電話029-33783302。
供稿供圖:心血管內科二病區 王端樂 趙娟
審核:吳棟梁
編輯:宣傳部 陳蕾
校對:宣傳部 劉曉艷


