近日,張大伯因反復心絞痛癥狀就診于我院心九科,但是病情危重,延安大學咸陽醫院醫院心血管內科九病區崔旭輝主任團隊成功把患者生命給“搶”了回來。
到底是怎么回事?
危 機
63歲的張大伯因嚴重心絞痛住院,心電圖可見明顯明顯心肌缺血。主治醫師黃永濤向患者講明病情后,征得患者和家屬同意,行冠脈造影檢查。真是不做不知道,一做嚇一跳。
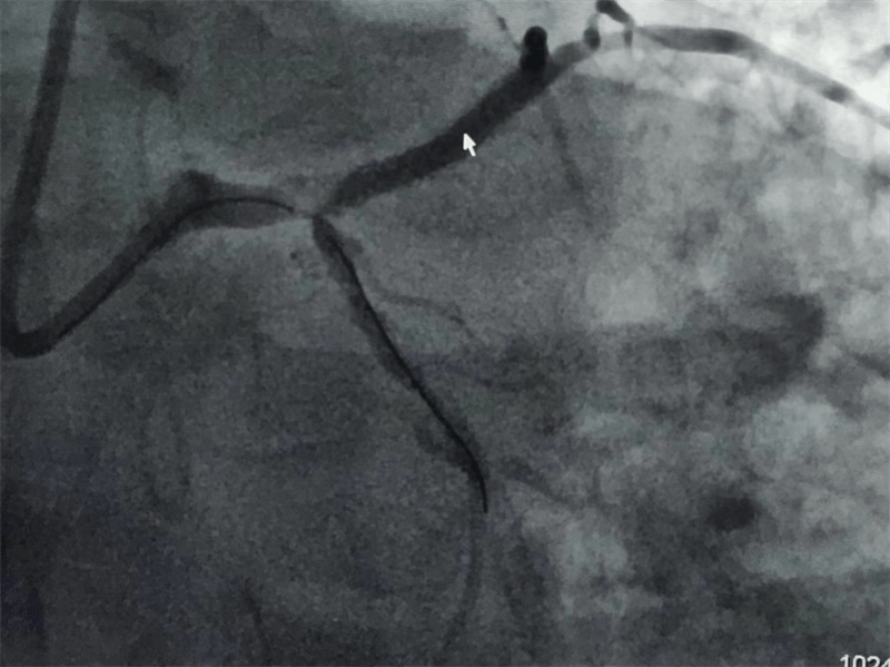
冠脈造影結果提示:左主干末端及前降支開口處99%狹窄,回旋支開口處80-90%狹窄,中段支架內100%閉塞。看到造影結果時,在場醫護人員無不驚出一身冷汗:左主干病變“細”如發絲——生死一線牽!患者拒絕搭橋手術,所以選擇介入處理該病變。
患者在冠脈造影檢查術中,感到胸悶、胸痛發作,血壓下降、心率減慢,我們立即對左主干狹窄段進行球囊擴張后癥狀好轉,生命體征逐漸平穩。
與患者家屬溝通后,其女兒猶豫不決、憂心忡忡,經過崔主任認真分析病情、充分溝通,征得患者及家屬同意后,為安全、精準處理病變,選擇進行血管內超聲檢查,經血管內超聲檢查提示左主干至前降支近段纖維斑塊,球囊擴張后面積3.97mm2,斑塊負荷70%,回旋支近段中度狹窄,斑塊負荷較輕。
慮患者病情危重,隨時有可能發生心源性休克、室速、室顫、心臟驟停等風險。為了手術安全,我們備用了臨時起搏器、IABP、除顫儀等搶救設備。
精準治療
挽救患者生命,挽救一個家庭的希望!當導絲通過病變區域時,大家的心都緊張了起來,經過精細、快速的操作,手術順利完成,原來像頭發絲一樣粗細的“血路”,終于恢復了正常!
有驚無險!
我們結合患者病變特點,對回旋支支架內閉塞病變處藥物球囊治療,左主干病變植入1枚支架,術后,造影顯示左主干病變處支架植入狀態良好,血管內超聲顯示支架貼壁良好,患者血壓、心率穩定,癥狀完全緩解,并安全返回重癥監護室進一步治療,術后張大伯無明顯不適,生命體征穩定,病情明顯好轉。
9月13日中午,張大伯康復出院,他和女兒送來錦旗及鮮花以表感謝。他女兒說:多虧心九科崔主任團隊的通力合作,及時有效救治,才讓父親轉危為安,對你們的技術點贊,謝謝你們!大家臉上都充滿了笑容!
供稿供圖:心血管內科九病區 崔旭輝 黃永濤
審核:吳棟梁
編輯:宣傳部 陳蕾
校對:宣傳部 劉曉艷


