近日我們隨訪了一位曾被軟組織肉瘤折磨近2年幾近絕望的患者,知悉她自從放療后3年多了,身體狀況一直平穩,我們無比欣慰。這是一位38歲女性患者,因為右腹部疼痛就診,被診斷出盆腔軟組織肉瘤,從此就開始了反復手術+化療的日子。前后經歷了三次手術+6周期化療,最后還是再次復發,在幾近絕望的時候,抱著試試看的想法,于2018年3月來到延安大學咸陽醫院放療科就診。針對患者腫瘤多次手術后復發而且比較大,盆腔腸道副反應大等問題,經科室主任尹信帶領全科醫療技術人員仔細研究病情以后,最終決定運用我們探索出的多模態放療方案進行根治性放療。多模態放療方案就是將現有的先進放療技術適形調強放療和立體定向放療進行科學合理的聯合應用,以及分階段放療等系列設計。最大限度殺傷腫瘤,和保護周圍腸道組織。3年后影像資料對比,腫瘤得到了徹底控制,瘋漲的腫瘤被“降服”了,我們這位腫瘤患者也終于獲得了新生,過上了平穩的生活。
下圖為放療前病變及放療靶區
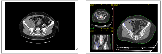
下圖為2021年8月復查MR
放療原理是采用高能射線殺滅腫瘤細胞,據統計現在超過一半的腫瘤患者需要接受放療,已有數以萬計的腫瘤患者被治愈,為我們腫瘤患者帶來了福音,你再也不用為因年齡大而擔心手術治療創傷大、恢復慢而愁眉不展,放療就是你的新選擇。選擇放療不開刀、不流血,高能量射線刀就可穿透正常組織,直接瞄準“罪犯”(即腫瘤組織),就地處決“罪犯”(即利用高能射線殺滅腫瘤),而不損傷周圍正常組織,我們只需定期復查就好。
聰明的你肯定發現了問題的關鍵,對,就是精準治療。那就不用擔心了,我們延安大學咸陽醫院放療科在全省最先配置了美國進口高端智能化直線加速器“瓦里安Vitalbeam”,德國西門子大孔徑定位CT,咸陽地區唯一一臺全身伽瑪刀,三維計劃后裝近距離放療系統等一批先進設備。有了上述先進設備的加持,可以開展非常精準的放射治療,從而提高腫瘤控制率,降低放療反應。目前開展的全身腫瘤放療技術: 三維適形放療(3D-CRT),調強放療(IMRT),容積旋轉調強放療(VMAT),立體定向放療(SBRT),后裝近距離放療。歷年西北地區慕名而來的病人數不勝數,病情各種各樣,堪稱經驗豐富;另外,西安唐都醫院放療科梁軍主任及陜西省腫瘤醫院放療科楊怡萍主任作為客座教授,定期來院指導,為我們每一位病人的診療計劃保駕護航。
供稿:放療科 尹信 劉小花
編輯:宣傳部 杜錦臻
校對:宣傳部 李釗


