7月19日晚上23:05,走進延安大學咸陽醫院CCU病房,來自河南的蒿大叔正躺在17號病床上安靜的休息著,而他的這次咸陽醫院之行純屬意外之旅。就在3個小時之前,在計劃從鄭州飛往貴陽的旅行中,剛上飛機不久的蒿大叔感到持續性的心前區劇烈疼痛,經驗豐富的乘務員請求飛機緊急迫降咸陽機場。早已等候的機場醫院120急救車將患者送到我院,成功接受了冠狀動脈成形術。
蒿大叔今年70歲,7月19日打算從鄭州到貴陽去幫忙看孫子,在登機前就有心前區悶痛不適,但老人家并沒有太在意,一路小跑著上了飛機。剛上飛機不久,蒿大叔就感到胸痛加劇,伴胸悶、氣短,全身大汗淋漓,持續不緩解,趕緊向乘務員求救,乘務組立即聯系了機場的醫務人員,在飛機上含服了硝酸甘油,但癥狀還是未能緩解。
圖片為網絡配圖
機長決定緊急迫降咸陽機場,機場急救中心賈醫生早已在停機坪等候,行心電圖檢查提示--急性前壁心肌梗死!!立即給予負荷量的抗血小板藥物,同時聯系急救車轉運。我院胸痛中心接到機場急救電話,為蒿大叔開通了急診綠色通道。但是蒿大叔倔強的認為自己是胃病,坐飛機暈機,堅決不愿意手術,同時又沒有親屬跟隨,這下可難壞了值班醫務人員。胸痛中心蔣沖主治醫師多次與老人溝通未果,電話與遠在貴州的兒子進行病情告知,但家屬也仍猶豫不定。幾經周折聯系到了蒿大叔在咸陽的親戚,最后在CCU病房李新國主任、值班醫師李雪杰主治醫師、張欣怡醫師的反復耐心解釋及勸說下,家屬最終同意手術。
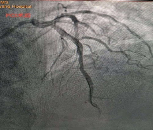
李新國主任為蒿大叔做了急診冠脈造影檢查,提示前降支近中段90%狹窄, D1開口99%狹窄,可見血栓影,結合術前心臟超聲檢查發現患者心臟腱索水平以下左室前間壁、前壁、前側壁運動搏幅減低,梗死范圍大,考慮罪犯血管為前降支近中段,在前降支近中段植入了一枚支架,開通閉塞血管。經過1個多小時的搶救,蒿大叔總算從鬼門關被救了回來了。
“非常感謝,非常感謝”,7月20日上午10時,遠在貴陽的兒子也趕到了咸陽,緊緊握住了醫生們的雙手,再三表示了感謝。蒿大叔其實早在1月前劇烈活動時就有過胸悶、胸痛的癥狀,因為沒有重視,險些丟了性命,這次發病如果機組不是果斷迫降,再耽誤下去患者極有可能猝死在飛機上。
急性心肌梗死,胸痛界頂級殺手之一,居心血管病死亡之首,是由于心臟的冠狀動脈突然閉塞,導致心肌血液供應中斷而發生心肌細胞壞死,多數患者表現為急性胸痛、胸悶,甚至引起休克、心臟驟停、猝死,搶救不及時就會導致死亡。急性心肌梗死的黃金救治時間僅僅120分鐘,只有緊急開通堵塞的血管,才能挽救患者的生命。延安大學咸陽醫院作為咸陽地區首家通過中國胸痛中心認證的醫療機構,是距離機場最近的三級甲等醫院,承擔機場所有危急重癥患者的急診搶救工作。心血管病院胸痛中心,它的初衷就是將急性胸痛患者的高危人群快速鑒別出來,而胸痛患者的快速診斷及救治也代表了一個醫院急診綜合處置能力。“時間就是生命,時間就是心肌”,挽救心肌、搶救生命是每一位心血管醫生的使命與職責,所以才會有那么多了不起的心血管和急診人不分晝夜、爭分奪秒與時間賽跑,搶救每一位患者。而搶救心梗病人,就是爭分奪秒以及醫患間的相互理解與配合,愿我們以此為起點,能夠為更多的患者提供更安全、有效的“生命通道”。
供稿:CCU 李雪杰 供圖:CCU李新國 張欣怡


