---延安大學咸陽醫院心血管內科五病區與醫學影像科合作通過心臟MRI診斷心肌致密化不全一例。
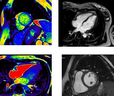
新年伊始,心五科接診了這樣一名年輕女性患者。患者受涼1周后出現心慌、氣短不適,既往無危險因素及心臟病史,入院后查動態心電圖提示:頻發性室性早搏伴頻發短陣室性心動過速,但患者心肌酶譜及心臟彩超均未經明顯異常。患者究竟是什么原因導致此類惡性心律失常呢?是冠心病?心肌病?心肌炎?還是遺傳性心臟病?在心五科主任李陽副教授、馮韓章責任總醫師及科室醫生的分析討論后,最終決定于2021年1月21日為患者進行心臟磁共振檢查。在醫學影像科張利安責任總醫師、蔡雷主治醫師認真讀片,院長助理兼醫學影像科主任劉連鋒教授最終確認后,考慮心肌致密化不全。可是心肌致密化不全又是什么樣的一種疾病呢?
心肌致密化不全(海綿心肌病)是一種罕見的特殊類型的心肌病,屬于先天性、遺傳性心肌病,它表現為以心室內異常粗大的肌小梁和交錯的深隱窩為特征的一種與基因相關的遺傳性心肌病。心臟是由非常密集的肌肉細胞組成的,如果胎兒或后天疾病導致心肌細胞空間增大,即心臟沒有致密的肌肉結構,導致心肌致密化不完全,收縮力下降,心功能或心率改變,部分患者后果嚴重。一般主要是累及心臟的左心室,臨床表現多樣,從無癥狀到進行性心功能惡化,充血性心力衰竭,心律失常,甚至猝死。
心肌致密化不全過去主要靠超聲心動圖診斷,但由于分辨率問題,部分患者敏感性較低,有時需要經食道UCG或心肌聲學造影,心臟MRI對NVM診斷敏感性可達86%,特異性達99%。經過明確診斷,可提高患者對疾病的重視,提高醫生對患者疾病的認識,為患者提供更優化的治療措施及預后判斷。
聯系人:李陽主任
電 話:13809104552
地 址:心五科(心血管病院10樓)
供稿供圖:心五科 焦媛媛


