12月18下午我院李新國責任總醫師和往常一樣在門診接診患者,一位患者在女兒的陪同下前來就診。經詢問病史,患者陳某、男性、62歲、有長期吸煙史;1年前行冠狀動脈造影提示左前降支輕到中度狹窄;術后未戒煙,也未按醫囑規律服藥,近期反復發作心絞痛,李醫生當即建議患者住院復查造影。患者開始拒絕住院,要求門診治療,在李醫生反復勸阻下最終同意住院。12月19日晨交班過后,主管醫生吳朝醫生在積極完善患者造影術前各項準備工作時,突然一陣急促的電話鈴聲打破了緊張而有序的工作:“我是2樓心電圖室,你科患者陳某突發暈厥,正在搶救……”。
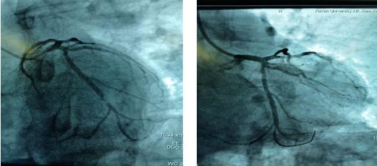
吳醫生迅速到達心電圖室,查看患者意識不清,心電圖提示下壁心肌梗死、三度房室傳導阻滯。立即給予阿托品、異丙腎上腺素提升心率,經積極搶救后患者心律逐漸恢復,意識逐漸清醒。“考慮患者是突發急性心梗引起的惡性心律失常,猝死風險極高,必須行急診介入手術”,李新國責任總醫師告知家屬病情,同時啟動應急預案,通知導管室做好急診手術準備,應急電梯待命…家屬同意手術后,立即前往導管室,實施急診冠脈造影手術。造影結果證實LCX中遠段95%狹窄,術中于病變血管處植入支架1枚,術后血流恢復,患者癥狀改善。在10余名醫護人員3個多小時的緊急搶救下,終于我們戰勝了死神。這一天,許久未晴的天空、陽光格外晴朗、明媚;這一天,北方的寒冬似乎也有了溫度…
據統計,全國現有心血管疾病患者約有2.9億人,其中心肌梗死患者約250萬人,心力衰竭約450萬人,心源性猝死發生率為41.8/10萬人。每年我國心源性猝死發病人數超過54萬,相當于每天約1500人因心源性猝死離世。急性心肌梗死的救治爭分奪秒,及時積極的救治能挽回更多的生命。若您身邊有患者發生胸痛、胸悶、大汗等不適癥狀,請及時撥打029-33766666或029-33788111,我們為您的生命隨時保駕護航。
供稿供圖:心血管內科八病區 俱思敏 吳朝


