疫情下的特別手術——冠狀動脈瘺彈簧圈栓塞術
2020年年初,新型冠狀病毒肆虐,白衣天使們成為了最美逆行者,他們像一塊塊巨大的巖石擋住了新型冠狀病毒性肺炎,在全國人民的共同努力下,新冠肺炎疫情控制穩中向好的態勢發展,延安大學咸陽醫院亦全面復工。3月3日心血管內科七病區開展了一例特別手術——冠狀動脈瘺彈簧圈栓塞手術,這是本年度的一例新項目手術,填補了我院此項手術空白。
該例手術為一名65歲女性,患者長期有胸悶、氣短不適癥狀。于2012年行二尖瓣狹窄置換術,術后仍有胸悶、氣短。多次復查心臟超聲提示二尖瓣置換術后,未見瓣膜周漏,左房擴張。手術應該沒有問題。但是癥狀一直困擾著患者,經多方打聽于2月27日來到我院就診,因為在特殊時期,患者擔心醫院有沒有上班,自己又是外省來的,疫情期間能不能住院,在門診高勝利主任醫師接診了該患者,給予測體溫,登記,詢問最近的旅居情況,一切正常,將患者安排住院,來到住院部12層心七科住院病區,整潔的病區環境,醫護人員的貼心照顧,讓患者緊張的心情放松了下來。主管醫師李陽波了解病情后,為患者做了全面查體,完善相關檢查后考慮患者的胸悶、氣短癥狀和冠心病有關,建議行冠狀動脈造影術(CAG)明確病情。
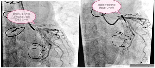
2月29日患者冠脈造影結果提示:冠脈為均衡型,LM未見明顯狹窄;LAD遠段可見心肌橋,長度約15mm,收縮期壓迫約50%;LCX中段60%狹窄,可見冠狀動脈-左房瘺;RCA未見明顯狹窄。結果冠狀動脈狹窄程度不是很重,卻發現了冠狀動脈-左房瘺。造影發現了新的診斷。吳棟梁院長、高勝利主任及賀新榮副主任醫師討論了患者的病情,認為患者目前的胸悶、氣短癥狀和這個比較少見的冠狀動脈瘺有關,導致冠狀動脈竊血引發癥狀,為患者制定了下一步的治療計劃——冠狀動脈瘺彈簧圈栓塞手術。患者及家屬表示同意手術并積極配合治療。
定于3月3日進行冠狀動脈瘺彈簧圈栓塞手術,術前手術團隊為患者細心指導,消除患者緊張情緒,穿著手術衣,帶著一次性手術帽和普通外科口罩,做好防護。吳棟梁院長和高勝利主任手術團隊為患者精心進行了手術,要將大小合適的彈簧圈放在血管遠端狹窄處封住瘺口,患者冠脈及分支血管比較迂曲,會導致手術過程比較復雜,耗時長,這些在手術方案里均考慮到。初始常規使用的導絲通過困難,后來根據患者血管走形我們又選擇了微導管和特殊的導絲,導管室很安靜,能聽到的只有時鐘的滴答聲和我的心跳聲,調整了手術器械后彈簧圈很快送到位并釋放,手術終于圓滿結束,比我們預計的手術時間提前了半小時。
該例手術為一名65歲女性,患者長期有胸悶、氣短不適癥狀。于2012年行二尖瓣狹窄置換術,術后仍有胸悶、氣短。多次復查心臟超聲提示二尖瓣置換術后,未見瓣膜周漏,左房擴張。手術應該沒有問題。但是癥狀一直困擾著患者,經多方打聽于2月27日來到我院就診,因為在特殊時期,患者擔心醫院有沒有上班,自己又是外省來的,疫情期間能不能住院,在門診高勝利主任醫師接診了該患者,給予測體溫,登記,詢問最近的旅居情況,一切正常,將患者安排住院,來到住院部12層心七科住院病區,整潔的病區環境,醫護人員的貼心照顧,讓患者緊張的心情放松了下來。主管醫師李陽波了解病情后,為患者做了全面查體,完善相關檢查后考慮患者的胸悶、氣短癥狀和冠心病有關,建議行冠狀動脈造影術(CAG)明確病情。
2月29日患者冠脈造影結果提示:冠脈為均衡型,LM未見明顯狹窄;LAD遠段可見心肌橋,長度約15mm,收縮期壓迫約50%;LCX中段60%狹窄,可見冠狀動脈-左房瘺;RCA未見明顯狹窄。結果冠狀動脈狹窄程度不是很重,卻發現了冠狀動脈-左房瘺。造影發現了新的診斷。吳棟梁院長、高勝利主任及賀新榮副主任醫師討論了患者的病情,認為患者目前的胸悶、氣短癥狀和這個比較少見的冠狀動脈瘺有關,導致冠狀動脈竊血引發癥狀,為患者制定了下一步的治療計劃——冠狀動脈瘺彈簧圈栓塞手術。患者及家屬表示同意手術并積極配合治療。
定于3月3日進行冠狀動脈瘺彈簧圈栓塞手術,術前手術團隊為患者細心指導,消除患者緊張情緒,穿著手術衣,帶著一次性手術帽和普通外科口罩,做好防護。吳棟梁院長和高勝利主任手術團隊為患者精心進行了手術,要將大小合適的彈簧圈放在血管遠端狹窄處封住瘺口,患者冠脈及分支血管比較迂曲,會導致手術過程比較復雜,耗時長,這些在手術方案里均考慮到。初始常規使用的導絲通過困難,后來根據患者血管走形我們又選擇了微導管和特殊的導絲,導管室很安靜,能聽到的只有時鐘的滴答聲和我的心跳聲,調整了手術器械后彈簧圈很快送到位并釋放,手術終于圓滿結束,比我們預計的手術時間提前了半小時。
術前與術后
冠狀動脈瘺(CAF)是指冠狀動脈主干或分支與心腔、肺動脈、冠狀動脈竇、上腔靜脈或肺靜脈近心端的異常交通,可為先天性或獲得性。在冠狀動脈畸形中其發病率占第一位,約占43%。一般來說小的冠狀動脈瘺不會導致癥狀,中大型瘺會導致心肌缺血與容量負荷增加,可有活動后胸悶、心悸,氣促,還有心絞痛、胸痛等表現,嚴重者可出現心衰、端坐呼吸。CAG是診斷CAF的金標準。對于較大的CAF,無論有沒有癥狀都傾向于處理,而中小型CAF如果有癥狀也應該處理,處理方式可以根據CAF結構與是否合并其他心臟結構異常選擇手術或介入方式。而該例患者屬于有癥狀的中型瘺,有介入手術指征。
患者手術順利,術后恢復好,已于3月9日出院,出院時滿懷感激地說:“你們是偉大的白衣天使,解決了困擾我多年的痛苦,讓我在治療疾病的過程中感到了親人般的溫暖,祝心七科全體醫護人員如意安康!”我想這才是我們醫務人的成就感和欣慰感吧!再苦再累也沒有什么!
此例手術的成功,為心臟病患者帶來了福音!
患者手術順利,術后恢復好,已于3月9日出院,出院時滿懷感激地說:“你們是偉大的白衣天使,解決了困擾我多年的痛苦,讓我在治療疾病的過程中感到了親人般的溫暖,祝心七科全體醫護人員如意安康!”我想這才是我們醫務人的成就感和欣慰感吧!再苦再累也沒有什么!
此例手術的成功,為心臟病患者帶來了福音!
心血管內科七病區24小時咨詢電話:029-33785046
心血管內科七病區科室位置:心血管大樓12樓
供稿:心血管內科七病區 賀新榮


