萬紫千紅迎國慶,片片紅葉舞秋風。在這秋高氣爽,丹桂飄香的美好季節,我們迎來了祖國70周年華誕。在這個特殊的日子里,延安大學咸陽醫院心臟介入導管室的每一位成員仍肩負重任,勇于擔當,不忘初心,牢記使命。在平凡的崗位上為國家、為醫院、為患者貢獻自己綿薄之力。
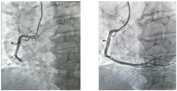
2019年10月1日凌晨1點左右,興平市人民醫院將一位急性心梗病人送至我院,患者胸痛5小時并伴有大汗,心電圖顯示ST段呈弓背向上型抬高,出現寬而深的Q波和T波倒置。心肌酶及肌鈣蛋白升高。心血管病院值班二線立即通知導管室值班醫生。“導管室已啟動”,一場與死神的博弈即將開始,醫護人員“飛毛腿”式趕到導管室,護士開始了準備工作,“液體已配好、除顫儀處于備用狀態、急救藥品準備完畢”的同時,隨著技師“趕快帶病人”。醫護人員穿上近30斤重的鉛衣、洗手、戴口罩,一場沒有硝煙的戰爭正式開始了,消毒、穿刺、造影.....手術緊張而有序的進行著,經過一小時左右的奮力搶救,病人終于脫離了危險。安全送至CCU后,醫護人員此時已經筋疲力盡,身上的衣服也已經濕透,但大家還是會共同探討手術的過程。
凌晨3點,手術室終末消毒工作剛剛結束,“滴滴滴……”胸痛中心來電,啟動導管室,醫護人員再次穿上鉛衣沖向屬于自己的特殊戰場……10月1日、10月2日、10月3日、10月4日、10月5日、10月6日,我們完成PTCA支架置入術、冠狀動脈內溶栓術、PTCA腔內成型術、臨時起搏器置入術、冠狀動脈內左室造影術及冠狀動脈內血管造影術共計心臟介入手術35例。我們永不停息的穿梭與手術間,平凡的本職工作中,與死神賽跑.....挽救了無數名生死垂危的患者,解除患者病痛的同時,還您一個完整、幸福的家!
70年的風風雨雨,讓我們的祖國日益強大,新中國的偉大成就讓你我他倍感驕傲與自豪,更激勵我們擔當有為,奮發圖強。我們愿與祖國同呼吸,共命運,立足本崗,干好本職,在平凡的崗位上鍛煉非凡的職業精神,做新時代主動擔當作為的奮斗者。

心臟導管室 周志偉 曹妙云


