——泌尿外科微創技術展示
泌尿外科 強永春
近日,我院泌尿外科收治一位五十五歲男性患者。體檢發現腎臟占位,腫瘤約五厘米。患者平素身體健康,外院就醫曾安排腎切除。因對傳統腎切除有顧慮而出院。入住我院泌尿科。在診斷和手術適應癥明確后,強主任協同專家組,認真討論了病情,和患者及家屬充分溝通后,安排行后腹腔鏡下腎腫瘤剜除術,保留了腎臟,術后恢復快,現已出院正常工作。
腎癌典型癥狀為血尿、腰痛、腹部腫塊,是泌尿系統常見惡性腫瘤,但等到出現這些癥狀,往往已到晚期;很多患者都是體檢時發現,目前,傳統的開刀切除腎臟已逐漸被后腹腔鏡下腫瘤剜除或后腹腔鏡下腎根治性切除取代,并且可以達到傳統的手術效果。


后腹腔鏡技術,即俗稱的“打眼”,于腰部不同部位作3個5-12毫米的小切口,通過這些切口插入攝像鏡頭及手術器械,通過攝像鏡頭將各個組織、臟器傳輸到電視屏幕上,外科醫生通過觀察圖像用各種手術器械在腰部進行操作來完成手術。
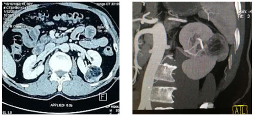
如圖一圖二為腫瘤位置及大小,圖三即為手術操作通道(5mm、10mm、12mm),術中游離出腎動脈后,用圖四的血管夾臨時阻斷腎臟血液供應,剜除腫瘤后,在腔鏡下縫合腎臟,確定縫合嚴密,再恢復腎臟血供!要求阻斷時間不能超過30分鐘,此例患者阻斷17分鐘!此類手術技術難度大,腹腔鏡下縫合要求高,并對血供阻斷有時間要求!
比以往的開放手術相比,有以下優點:1.手術創傷小,2.病人術后恢復快,3.住院時間短,4.病人術后疼痛輕,5.手術瘢痕小,美觀,6.治療效果與開放手術相同。
我院泌尿外科,目前擁有先進的等離子電切鏡;德國產狼牌輸尿管鏡、腎鏡及腹腔鏡;氣壓彈道聯合超聲吸附碎石清石系統;同時與省內外各專家團隊建立溝通協作機制,會診及手術均可完成,能讓患者不出咸陽,享受國內一流的醫療服務。


