辦公室 劉 歡
超聲科的醫生常常戲稱自己為超人,這些超人總是一間黑屋,表情嚴肅,拿著一個探頭,對著一臺儀器,在病人身上涂著一層滑溜溜,粘乎乎的,不知道是什么的東東….這應該就是大部分人對超聲科醫生的印象。
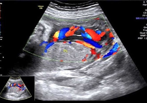
2017年7月10日上午就是在這間小黑屋里,一名34周孕婦正在進行產科常規超聲檢查,當探查到胎盤時,朱新娟醫師一臉凝重,她發現了異常!經科主任吳建軍、副主任醫師趙瑩會診,發現該孕婦腹中胎兒臍帶走形異常、并異常插入胎盤,沿胎膜走行約5.2cm后才進入胎盤實質,且血管聚集成堆于宮頸內口處,考慮臍帶帆狀插入胎盤并血管前置。此現象是非常少見的產科急癥!極易造成血管斷裂!大出血!造成胎兒死亡!而這一切,產婦和家屬卻全然不知。情況緊急,朱新娟立即電話報告產科危急值!

聲像圖示:臍帶帆狀插入胎盤并血管前置
產科接到危急值報告后,即刻將該孕婦收治入院,給予密切監護、治療,并于7月20日上午9:40,為該孕婦行剖宮產,娩出一名2000g女嬰,母女平安!數十分鐘后胎盤娩出,確系少見的臍帶帆狀插入胎盤并血管前置!產科馬主任激動地拉著吳主任的手說:“你們超聲醫生太棒啦!你們就是我們產科醫生的眼睛!不但救了這對母女,也‘救’了我們產科醫生啊!”
有人認為超聲科醫生的工作沒有技術含量,認為檢查的結果,是儀器自動給出的。然而,超聲的每一幅圖像,都是靠超聲醫生親自探查并采集的,每一個患者至少都有10張以上的圖像存儲,對于比較復雜的病例,有幾十甚至上百張。這些都需要超聲醫生在邊探查的時候,邊思考,邊分析,這是一個真正手腦并用的工作。
正所謂一分耕耘一分收獲!近年來,延安大學咸陽醫院超聲科在吳建軍主任的帶領下,注重醫療質量,注重業務學習,經常利用雙休日外出學習交流,特別是婦產科方面,科主任多次對異常胎盤、瘢痕妊娠等疑難重癥向全科醫生進行培訓,并規范報告模板,診斷水平不斷提高,協助臨床診斷,解決了多個疑難、危急病例,使患者轉危為安,受到臨床的認可和稱贊。
平安永駐是超人們對患者誠摯的祝福,大醫精誠是超人們對自己嚴格的要求!如今,延安大學咸陽醫院的超人團隊正用手中的小小探頭維系著患者的生命安全,他們正踏著創三甲提質量強內涵的步伐,任勞任怨、勤奮工作,為醫院的發展添磚加瓦,為患者的健康保駕護航!

超聲科主任:吳建軍

超人團隊


