——我院神經外科成功實施立體定向顱內病變活檢術
神經外科一病區 巨濤 核稿:科教部
近日,我院神經外科一病區成功完成了第一例立體定向顱內病變活檢術。
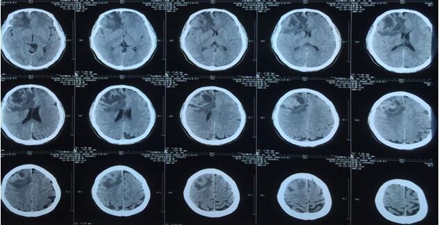
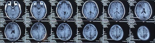
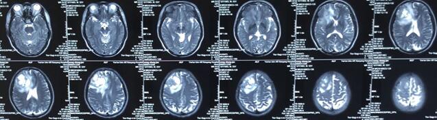
患者王某某,男,53歲,因“間斷頭痛半月”入神經內科十二病區,發現顱內占位后轉入神經外科。既往患者有肺Ca病史,于一年前行手術治療。頭顱影像學診斷膠質瘤?轉移瘤待排。2016年6月29日在3.0T磁共振定位后,劉增強副主任與其團隊為患者實施了立體定向腦內病變活檢術,此患者病灶為囊實性,手術難度較大,而一旦囊液流失則會發生腦組織漂移,導致靶點移位,因此手術計劃制定尤為重要,入顱點為右額部,穿刺后首先達到腫瘤實性部分,獲取病灶標本后,抽出部分囊液以緩解患者高顱壓癥狀,經過精細的手術操作,最終成功獲取腫瘤標本,并且抽出約20ml腫瘤液,患者情況穩定,術后兩小時即下床活動。
術后冰凍切片報告考慮轉移瘤,我院石蠟病理結果為少許低分化癌組織,結合病史符合肺癌腦轉移。



我院在2015年度科研立項經費總額達59萬的基礎上,今年又啟動了新一輪院內科研基金項目,并對基金項目的分設進行了重新梳理和分層、定位,基金項目分為三大類型:科技助推計劃基金、研究生科研創新計劃基金、科學研究專項基金。其中科技助推計劃資助以臨床常見、重大、疑難疾病的預防、診斷和治療需求為牽引,以最終獲得具有臨床應用價值的診療方法和標準,以及應用新儀器、新器械為目標而開展的應用研究,資助金額為30-50萬元/項,研究期限3年;“立體定向顱內病變活檢術”屬于我院2016年度院內科學研究基金項目中的助推計劃,是我院重點扶持和推動的項目,立項經費達30萬元。本項目立項后,醫院立即按照課題計劃,購置了目前國內應用最廣的安科立體定向設備及手術操作計劃系統,通過電生理記錄、獲取組織標本、制造毀損灶、消除病變等方法,以達到進行生理研究、診斷和治療中樞神經系統疾病的目的。目前神經外科應用立體定向技術已開展顱內病變活檢,深部血腫穿刺,囊性病變囊液抽吸,腦膿腫穿刺抽吸及腔內治療。尤其對于顱內囊實性惡性腫瘤可以留置Ommaya囊進行治療。
此次立項項目的成功開展將進一步激發廣大中青年醫護人員的創新熱情,培養他們的科研思維和科研創新能力,孵化更多的臨床實用型、創新型科研成果,并為我院神經外科以及全院醫療技術水平的進一步提高注入一針強心劑!


